Home / Service Detail
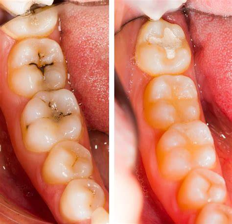
Tooth colored filling is a dental procedure that restores cavities using composite material matching natural tooth color, providing strength, durability, and an aesthetic appearance.
At Dr Patil’s Elite Smile, we provide advanced tooth colored filling in Wakad Pune for restoring decayed or damaged teeth with a natural look.
These fillings blend perfectly with your teeth, improving appearance while maintaining strength and function. Our painless treatment ensures quick recovery and long-lasting results.
At Dr Patil’s Elite Smile – Best Dentist in Wakad, Pune, we provide advanced, painless dental treatments with a strong focus on patient comfort, hygiene, and long-term oral health. Our clinic is trusted by patients looking for reliable and affordable dental care in Wakad.
Our expert dentists, led by Dr. Mayank Patil (12+ years) and Dr. Sukanya Patil (7+ years), deliver trusted, advanced, and result-oriented treatments, making us one of the best dental clinics in Wakad, Pune.
As the best dentist in Wakad, Pune, we prioritize your comfort with painless treatments, transparent consultation, and personalized dental care for every patient.
Our caring and professional team ensures a stress-free and welcoming experience, making us a preferred dental clinic in Wakad for families and individuals.
EXCELLENT Based on 256 reviews Posted on Devendra GuptaTrustindex verifies that the original source of the review is Google. Great experience at the clinic. Good Doctor and nice service. Thanks...Posted on dnyanda mahajanTrustindex verifies that the original source of the review is Google. Highly recommended dental clinicPosted on Prakash KumarTrustindex verifies that the original source of the review is Google. Highly recommend this dental clinic in wakad for root canal and dental implants.Posted on Redict CumberniTrustindex verifies that the original source of the review is Google. Went for cleaning, it was quick and efficiently done. Recommend this place.Posted on Veer STrustindex verifies that the original source of the review is Google. Had a great experience. Doctor has kindly examined and explained the problem and treated carefully.Posted on Arundhati GoreTrustindex verifies that the original source of the review is Google. It was very good experience. Very knowledgeable and experiencedPosted on SUVIDHA SUKHADEVETrustindex verifies that the original source of the review is Google. I had a really good experience with my dentist. He is very helpful, kind, and extremely straightforward when it comes to explaining the treatment. He clearly outlines the procedure, options, and expectations, which makes you feel comfortable and informed. He also gives very genuine and practical advice. Highly recommended!Posted on Kalpana ShekhawatTrustindex verifies that the original source of the review is Google. Both my child and I had a very good experience with Dr patil and team .dr was gentle and patient. He is very professional.Verified by TrustindexTrustindex verified badge is the Universal Symbol of Trust. Only the greatest companies can get the verified badge who has a review score above 4.5, based on customer reviews over the past 12 months. Read more
Book appointment today for safe, painless dental implants in Wakad
WhatsApp us